Informatii

12 septembrie 2019

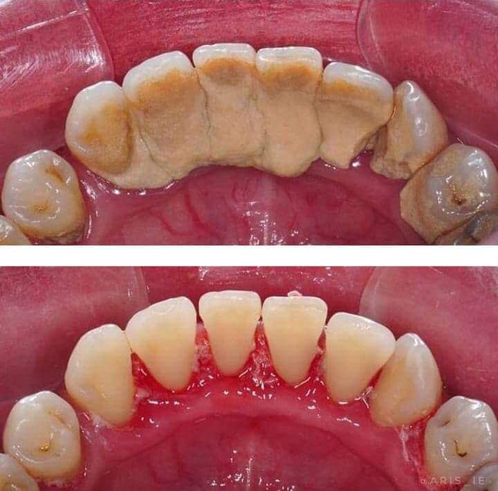
Ce este tartrul dentar?

??Tartrul este un depozit organomineral de culoare galben- brun, aderent de suprafața dentară sau alte structuri solide orale , ca lucrările protetice sau aparatele ortodontice . […]